Profile
Modalities
Our Team
Gallery
Facilities
Contact Us
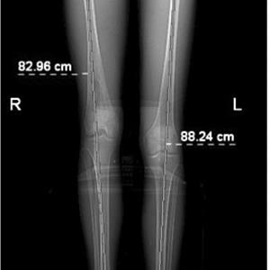
SCANOGRAM
FULL LENGTH X RAY OF BOTH LEG IN ONE FILM