HSG
icon

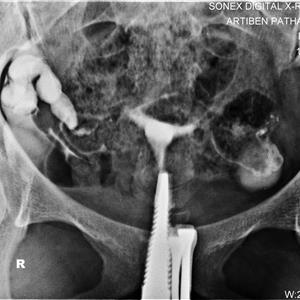
 HSG ::; HYSTEROSALPINGOGRAPHY

 

IT IS DYE STUDY OF UTERUS AND BOTH FALLOPIAN TUBES FOR PATENCY OR BLOCK

 

IT IS DONE ON IITV X.RAY TABLE ,DYE INJECTION BY GYENECOLOGIST.